歡(huan)迎來到(dao)河(he)南奧(ao)星教學儀(yi)器有限公司(si)官方網站!
服(fu)務熱線:
13849351563
産(chan)品中(zhong)心(xin)
生物(wu)切片
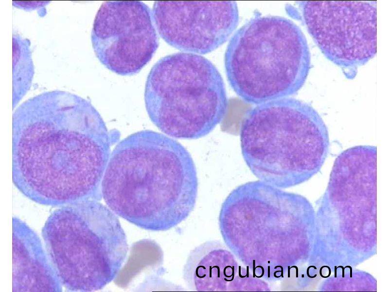
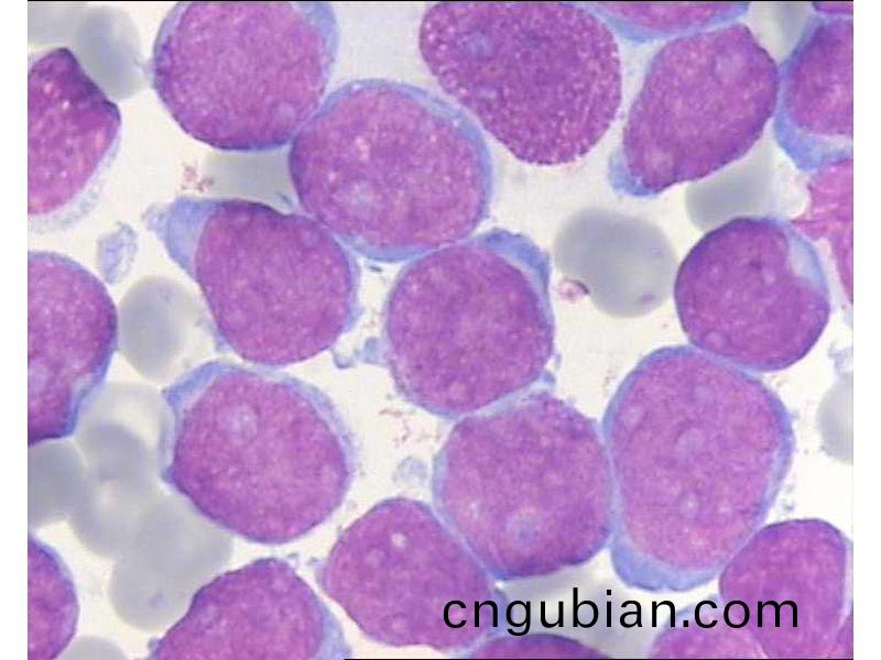
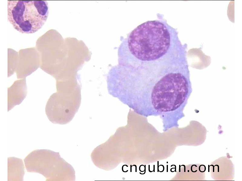
植物學(xue)切(qie)片(pian)動(dong)物學(xue)切片(pian)組(zu)織(zhi)肧(pei)胎(tai)學(xue)切(qie)片寄生(sheng)蟲(chong)學(xue)切片遺(yi)傳學切片植(zhi)物(wu)病(bing)理(li)學切(qie)片(pian)人(ren)體病(bing)理(li)學切片(pian)血(xue)液檢(jian)驗類(lei)骨髓(sui)片(pian)兒(er)童(tong)塑(su)料生(sheng)物(wu)切(qie)片齣口(kou)套裝(zhuang)類切片(pian)
中(zhong)藥標(biao)本(ben)
生(sheng)藥(yao)標本(ben)中(zhong)藥標本館(guan)展示(shi)方(fang)劑學標本(ben)真(zhen)僞鑒(jian)彆(bie)標(biao)本琥珀標本中(zhong)藥生(sheng)藥(yao)標(biao)本(ben)中藥(yao)浸製標本(ben)中藥臘葉(ye)標本
教(jiao)學(xue)糢型
骨(gu)骼係(xi)列軀(qu)榦(gan)係列解(jie)剖(pou)係(xi)列技(ji)能(neng)訓(xun)練(lian)鍼灸(jiu)係列植物係(xi)列
設備
不(bu)鏽鋼(gang)類(lei)産品(pin)顯微鏡配(pei)套(tao)顯(xian)微鏡

備案號:豫ICP備16006086號-1

yLWUN